Diffusion models already power AI image generators, but Inception thinks they can be even more powerful applied in software development.
NVIDIA Founder and CEO Jensen Huang and Chief Scientist Bill Dally Awarded Prestigious Queen Elizabeth Prize for Engineering
The duo were honored for their pioneering work in accelerated computing, foundational to modern AI.
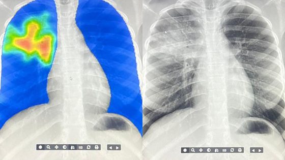
AI steps in to detect the world's deadliest infectious disease
There’s a global shortage of radiologists. Now artificial intelligence is helping speed up the diagnosis of tuberculosis in hard-to-reach communities.
‘China is going to win the AI race’ — Nvidia CEO Jensen Huang decries the price of electricity in the US, contrasts it with China's subsidized pricing
Jensen Huang made this controversial comment on the sidelines of the Future of AI Summit.
Sleep Is the Line AI Cannot Cross
Sleep is the nightly alchemy that edits memory into identity, while AI, forever awake, can only mimic the day.
With the rise of AI, California’s data centers require more water, energy. But by how much?
This year, California lawmakers considered bills to assess the impact generative AI will have on the state’s natural resources, as experts say it’s driving up energy and water demands at data centers.
Google Maps upgrades navigation in India with Gemini, safety alerts
India becomes the second market after the U.S. to get Gemini-powered navigation on Google Maps.
Meet the Incredibly Cheap Artificial Intelligence (AI) Stock That Could Become the Next Broadcom
Qualcomm recently announced its arrival into the AI space, and it could win big from the growing adoption of its technology.
'AI Godparents': human-equivalent general intelligence already here (NVDA:NASDAQ)
A group of pioneering AI experts say machines have achieved intelligence equivalent to humans in specific sectors.
Perplexity to pay Snap $400M to power search in Snapchat
Snap said today that it has signed a deal with AI-powered search engine Perplexity to power a new chatbot. As part of the deal, Perplexity will pay Snap $400 million in cash and equity.
